MRI専用画像処理ワークステーションを用い、血流や造影画像など適宜なタイミングで撮影されたMRI画像を解析処理し機能的視点からの情報を追加提供し診断をサポートします。
Perfusion解析、頭部や乳腺のPermeability解析、DTI解析、ASL解析など豊富な解析アプリケーションを有しています。
        
          
        
        
          
          急性期脳梗塞に対する拡散強調画像(DWI)

頭部拡散強調画像(DWI)
 通常、突然麻痺の症状が出た場合、頭部の疾患を疑って頭部CTを撮影しますが、脳梗塞の場合、発症直後にCT検査を撮影しても脳梗塞はうまく描出されません。
 しかし、MRI検査の拡散強調画像(DWI)では、脳梗塞の血流の途絶えによっておこるわずかな浮腫を白く表現し、特定することができます。超急性期または急性期の脳梗塞を診断する上で欠かせない検査となっています。
非造影でおこなう脳機能検査(DTI ・DTT ・ASL)
 神経線維等をファイバートラッキングした結果を、画像に重ね合わせて表示することができます( Diffusion Tensor Imaging :DTI 、Diffusion Tensor Tractography :DTT)。 
 また、ラベリングされた血液の流れを造影剤を用いたときのように、灌流を画像化する非造影Perfusion( Arterial Spin Labeling : ASL)検査も可能です。 

造影剤を使用する脳血流や腫瘍鑑別検査
 造影剤を使用することでさらに詳細な毛細血管レベルの灌流画像( Perfusion Imaging )が得られます。また、脳腫瘍は病態により血管脳関門( Blood Blain Barrier:BBB ) が破綻することで造影剤が漏出する場合が多いことから、血管透過性画像法( Permeability Imaging ) を用いた鑑別検査が重要となります。当院では、T2*WI-FEEPIを用いた DSC ( Dynamic Susceptibility Contrast )だけではなく、T1WI-FFE3Dを用いて磁化率変動の影響を受けにくくした DCE( Dynamic Contrast Enhanced )を撮影することができ、正確な鑑別のために活用されています(日本でもまだ少数の施設しか行えていません)。 
 
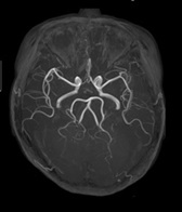
頭部・腹部・下肢非造影MRA

非造影頭部MRA

非造影下肢MRA
 CTにおいては、血管描出のためには、造影剤を必ず用います。しかし、MRIは造影剤がなくても頭部や腹部、下肢全体などの血管を描出することができます。コントラストも良く明瞭で、何より安全に検査ができます。
乳腺ダイナミック

乳房ダイナミック
 造影剤を用いてダイナミック撮影(経時撮影)をすることで腫瘍の存在がはっきりし、大きさや拡がりなどが診断しやすくなります。
 体位は、うつ伏せで乳房を進展した状態で撮像します。両側乳房を同時撮影することで合わせて検査できます。