消化管造影検査

ERCP

注腸

胃透視
透視下で、造影剤(バリウムなど)を使用して食道、胃、十二指腸、小腸、大腸などを撮影します。潰瘍やポリープなどを隆起や陥没像により見つけることができます。
胃透視や注腸などはこれにあたり、必要に応じて空気や発泡剤など腸管を膨らませる顆粒や腸の蠕動を抑える注射など用いる場合もあります。腸内の異物をなくすために、絶食などの前処置がある場合があります。
この他にも透視下で内視鏡を使って総胆管内を検査し、膵臓、胆嚢、総胆管の異常を見つけたり、結石を除去する治療のナビゲートにも利用されています。
放射線科透視下検査

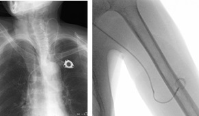
ポートの埋め込み
透視下において、放射線科系の検査を行います。
常時、点滴等を使用した治療を行う方に対して、針刺しの苦痛を軽減するためにポートを皮下に埋め込みます。その他に上肢の細くなった血管を小さな風船で内側から広げる治療も行っています。
婦人科造影検査

子宮卵管造影
透視下において、婦人科系の検査を行います。
子宮卵管造影は、造影剤を用いて子宮内部や卵管の通過状態を撮影し検査します。その他にも手術前に尿管走行位置の確認なども行います
泌尿器科造影検査

静脈性腎盂造影
透視下において、泌尿器科系の検査を行います。
静脈性腎盂造影(IVP)は、造影剤を点滴すると、排泄により腎臓、尿管、膀胱へ移行します。その過程を経時的に撮影する検査です。その他にも尿管ステントの挿入や交換等を行います。
呼吸器透視下検査

気管支ファイバー検査
透視下において、呼吸器科系の検査を行います。
気管支ファイバー検査は肺内にできた病巣部近くまで、気管支ファイバーを挿入し、病巣の細胞を採取したり、洗浄したりします。
整形外科透視下検査

神経根ブロック
透視下において、整形外科系の検査を行います。
骨折や脱臼の整復を行ったり、腰椎の神経根を造影し、下肢の痛みに対する治療を行います。
外科透視下検査

下肢静脈造影
透視下において、外科系の検査を行います。
下肢静脈検査は、末梢の足背静脈から造影剤を注入し、血管の走行を撮影します。