防災・危機管理情報

鳥取県中部圏域の中核病院として、県が運営している病院です。
検索

鳥取県立厚生病院ホームページへお越しの方へ



鳥取県立厚生病院は新しいホームページとなりました。

新しいホームページは以下のリンクをクリックしてください。
また、旧ページをブックマークされている方は
新ページへの変更をお願いいたします。

新サイト「鳥取県立厚生病院」

患者の皆様に優しいAI(人工知能)を搭載したCT装置を導入しました

 2021年に更新した80列※のCT装置ではAI(人工知能)技術を搭載しております。装置はコンパクトで圧迫感がないスリムな設計になっています。開放感があり体格の大きな方や閉所恐怖症の方でも安心して検査を受けていただけます。
 320列CT装置では一度に広範囲が撮影できることを利点に、頭から足先まで全身の任意の断面画像や、骨・臓器・筋肉・血管などの3D画像が作成可能で、様々な疾患を詳細に描出し有用な情報として臨床診断に利用されています。
 最新のCTを用い被ばく線量低減にも努めて、安心して検査を受けていただけます。
私たちは2台のCTで日々、各診療科からの精密検査依頼や救急対応等を行っています。

※列とはCT装置の検出器の配列のことで列数が多ければ広範囲を一度に撮像できます(80列は4cm、320列は16cm)。
320列320列CT 80列80列CT
腹部3D-1 腹部3D-2
 腹部3D画像
 
 
  

3D画像解析ワークステーション

 CTで撮像された薄い画像を重ね合わせ、ボリュームデータとして扱うことで任意の断面を構築することができます。立体的に表示することも可能で、例えば骨のみ表示させ回転しながら観察することで、手術支援や患者の皆様への説明に用いられます。
 造影剤を用いた検査では血管や腫瘍の情報が得られ、腫瘍への栄養血管の走行を見たり骨と重ねて位置関係を把握することもできます。動脈瘤や閉塞部位についても多方向から観察ができるため手術前のシミュレーションにも用いられます。
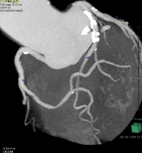
 心臓CT検査(下図)は、冠動脈(心臓の栄養血管)の状態をみることができる検査です。3D表示もできることから、回転させながら観察することができます。30分程度の検査ですので、外来で受けることができます。
 これらの医療画像は画像解析ワークステーションの解析技術が向上したことで短時間で画像が作成できるようになっており、現在のCT検査には不可欠な存在です。

 

心臓3D画像心臓3D画像 心臓MIP画像心臓MIP画像

 

大腸CT検査(CTC)
 大腸CTとは炭酸ガスを肛門から注入し、大腸を十分に拡張したうえでCT撮影する方法です。仮想大腸内視鏡とも呼ばれ3D画像などを作成することで、実際に内視鏡カメラを挿入することなく大腸の内側を見ることができ、大腸癌やポリープ、腸管の狭窄などを見つけることが可能です。絶食や下剤内服などの前処置を必要としますが、15分程度と短時間の検査ですので、外来で受けることができます。

炭酸ガスの注入された大腸炭酸ガスの注入された大腸 仮想内視鏡3D画像仮想内視鏡3D画像 描出されたポリープ描出されたポリープ

 

肺区域切除術前CT検査
 肺癌の手術では、可能な限り小さな範囲を切除し術後の肺への影響を減らすために、肺動脈や肺静脈の分岐や走行を把握しておくことは必須となっています。そのために造影剤を用いた肺の動静脈および気管支を3D作成し、様々な方向から詳細に観察を行います。術前にシミュレーションすることにより安全で効率的な手術に貢献しています。

 

肺動静脈
肺動静脈3D画像 腫瘍と気管支

 

CT検査を受けられる方へ

▶ 予約いただいている方を優先的に検査しています。
  お一人当たりの検査時間は約10分~20分です。
  
▶ 腹部の撮像やヨード造影剤※を使用する造影検査の場合は、3時間前より絶食が必要です。
  事前の検査説明書をよく読み準備をお願い致します。

  ※ヨード造影剤
   ・・・腕の静脈から注入します。血流にのって全身へ送られていきます。検査後は、
      尿中に排泄されますので、検査後は水分を多めに摂取していただくことで
      体外への排出を促します。
  

Copyright(C) 2006~ 鳥取県(Tottori Prefectural Government) All Rights Reserved. 法人番号 7000020310000